Badanie żywej kropli krwi to unikalna metoda diagnostyczna, która pozwala przyjrzeć się komórkom krwi pod mikroskopem. Ta niezwykła technika daje nam wgląd w stan zdrowia organizmu, wskazując na potencjalne niedobory czy nieprawidłowości. Choć może wydawać się nieco kontrowersyjna, wiele osób zgłasza się na to badanie, by lepiej zrozumieć swoje ciało i podjąć właściwe kroki w stronę zdrowia. Zapraszam do przeczytania tego artykułu, który wyjaśni, na czym polega badanie żywej kropli krwi i dlaczego warto je wykonać.
Kluczowe wnioski:
- Badanie żywej kropli krwi to nieinwazyjna i bezpieczna metoda diagnostyczna.
- Pozwala wykryć nieprawidłowości w komórkach krwi, które mogą sygnalizować różne problemy zdrowotne.
- Jest to cenne źródło informacji o ogólnym stanie zdrowia organizmu.
- Wyniki badania pomagają dobrać odpowiednią dietę i suplementację.
- Warto wykonywać je regularnie w celu monitorowania stanu zdrowia.
Na czym polega badanie żywej kropli krwi?
Badanie żywej kropli krwi, znane również jako żywotność krwi lub obserwacja krwi pod mikroskopem, to metoda diagnostyczna, która pozwala przyjrzeć się komórkom krwi w ich naturalnym stanie. Polega na pobraniu niewielkiej ilości krwi, najczęściej z opuszki palca, i umieszczeniu jej na szkiełku podstawowym. Następnie krew jest powiększana i analizowana pod mikroskopem.
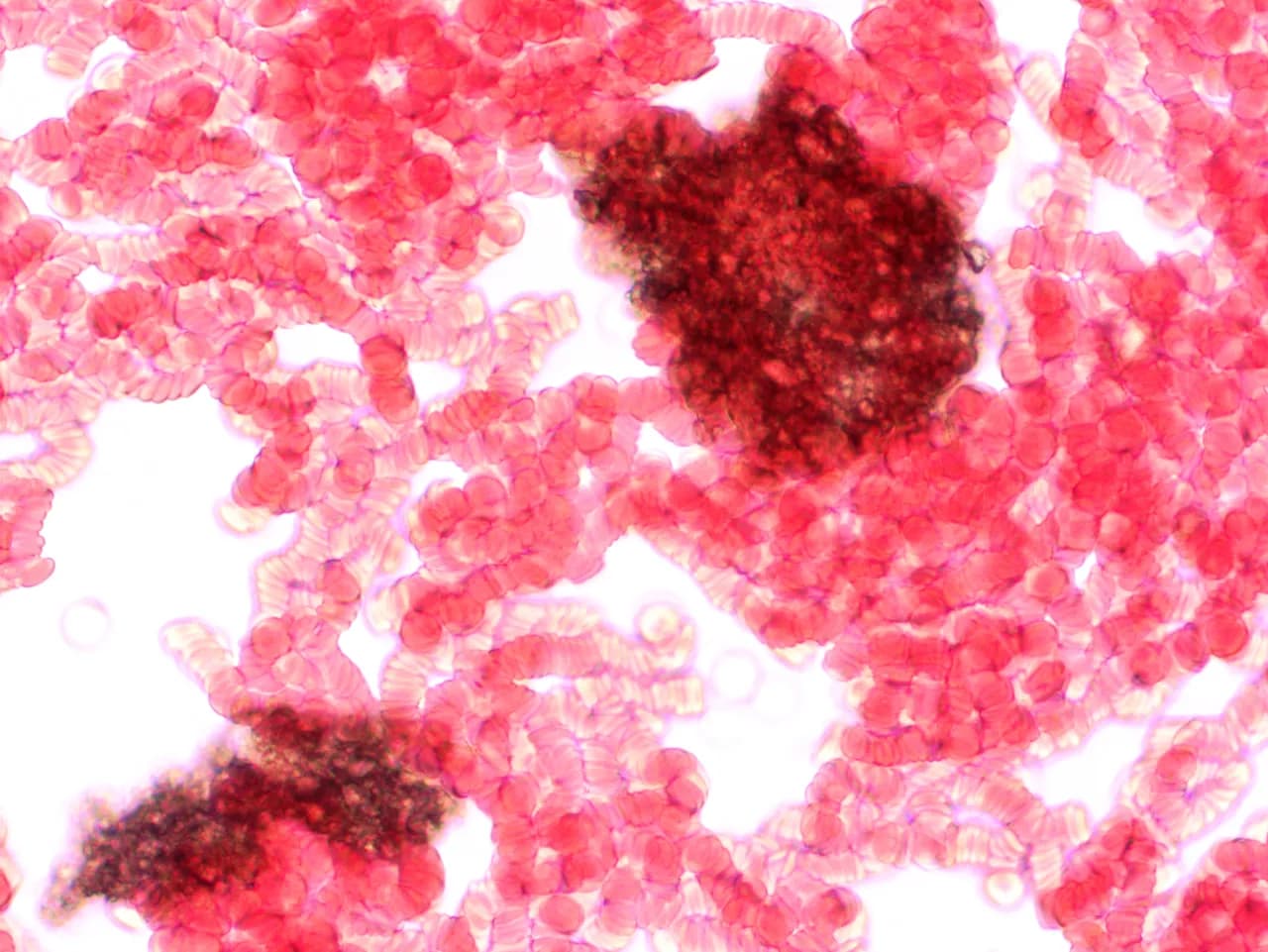
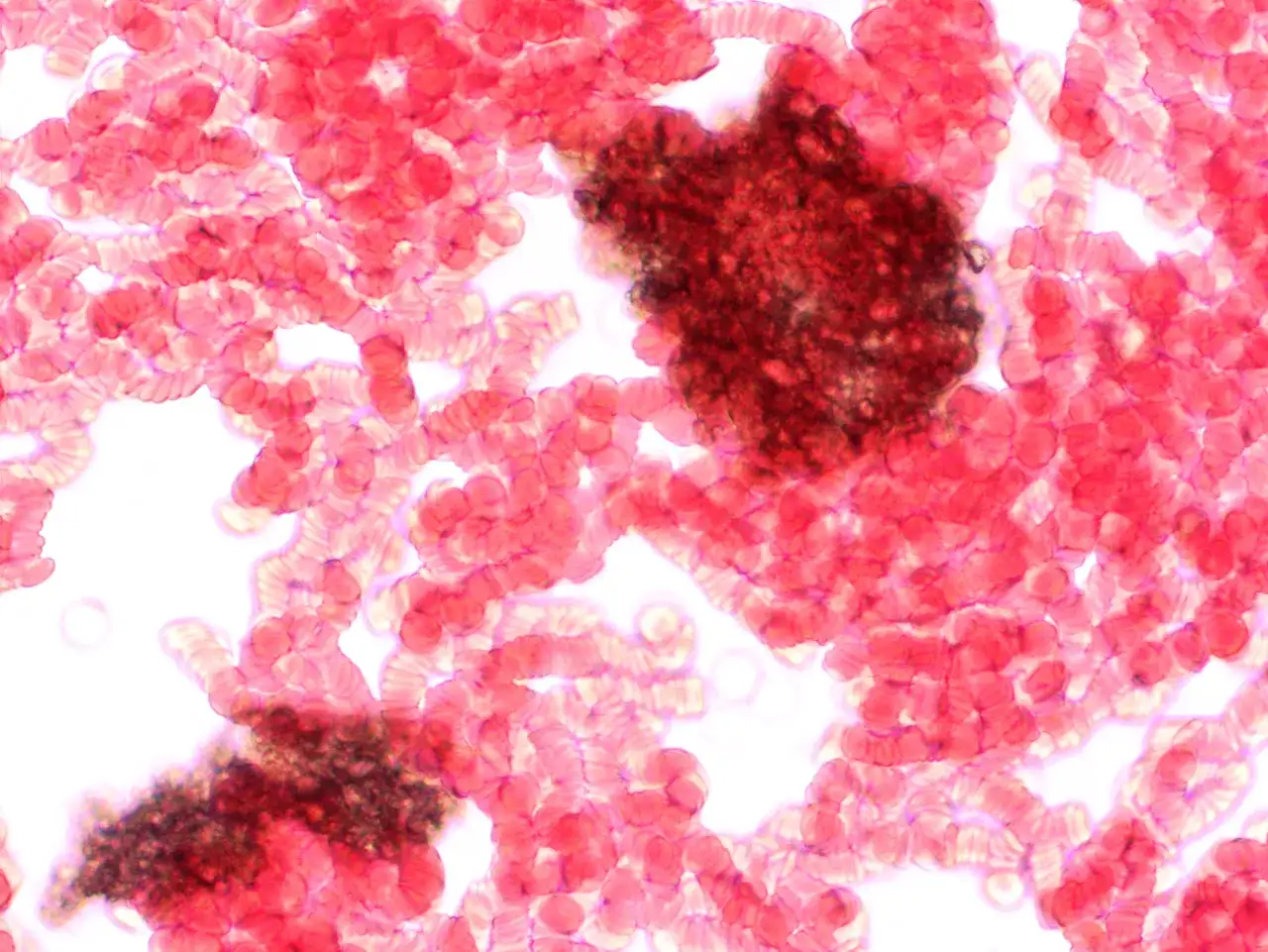
Podczas badania żywej kropli krwi można zaobserwować wiele różnych elementów, takich jak czerwone krwinki, białe krwinki i płytki krwi. Specjalista ocenia ich kształt, rozmiar, liczbę i wzajemne oddziaływanie. Dzięki temu można wykryć potencjalne nieprawidłowości, które mogą sygnalizować różne problemy zdrowotne.
Ta technika diagnostyczna jest ceniona za swój nieinwazyjny charakter i bezpieczeństwo dla pacjenta. Nie wymaga żadnych specjalnych przygotowań, a sam zabieg jest praktycznie bezbolesny. Badanie żywej kropli krwi dostarcza cennych informacji na temat ogólnego stanu zdrowia organizmu, co czyni ją wartościowym narzędziem w medycynie holistycznej.
Warto pamiętać, że badanie żywej kropli krwi nie zastępuje tradycyjnych badań krwi przeprowadzanych przez lekarzy, ale może stanowić cenny dodatek do diagnostyki i monitorowania stanu zdrowia.
Kiedy warto zlecić badanie żywej kropli krwi?
Istnieje wiele sytuacji, w których warto rozważyć wykonanie badania żywej kropli krwi. Oto kilka przykładów, kiedy taka analiza może być szczególnie przydatna:
1. Gdy odczuwasz ogólne osłabienie, zmęczenie lub brak energii, a standardowe badania krwi nie wykazują żadnych nieprawidłowości. Badanie żywej kropli krwi może pomóc zidentyfikować przyczynę tych objawów.
2. Jeśli zmagasz się z przewlekłymi infekcjami, nawracającymi chorobami lub problemami z układem odpornościowym. Analiza żywych komórek krwi może ujawnić wskazówki dotyczące stanu Twojego układu odpornościowego.
3. W przypadku problemów z trawieniem, nietolerancji pokarmowych lub alergii. Badanie żywej kropli krwi może pomóc w wykryciu ewentualnych niedoborów lub nieprawidłowości wpływających na Twoją reakcję na określone składniki odżywcze.
4. Jeśli planujesz zmianę diety lub suplementacji i chcesz monitorować ich wpływ na organizm. Badanie żywej kropli krwi przed i po zmianach może dostarczyć cennych informacji na temat skuteczności Twoich działań.
Czytaj więcej: Rola przeciwciał IgA i IgG w diagnozowaniu chorób: Przegląd
Przebieg badania żywej kropli krwi krok po kroku
Wykonanie badania żywej kropli krwi jest stosunkowo proste i nieinwazyjne. Oto jak wygląda typowy przebieg tego badania:
1. Przed rozpoczęciem badania specjalista wyjaśnia jego cel i procedurę. Może również poprosić o wypełnienie krótkiej ankiety dotyczącej Twojego stanu zdrowia i stylu życia.
2. Następnie, przy użyciu sterylnej lancety, pobierana jest niewielka ilość krwi z opuszki palca lub dłoni. Ta czynność jest praktycznie bezbolesna i wymaga jedynie delikatnego nakłucia.
3. Krew jest natychmiast przenoszona na czyste szkiełko podstawowe i przykrywana szkiełkiem nakrywkowym. To zapobiega jej wysychaniu i umożliwia obserwację pod mikroskopem.
- 4. Specjalista umieszcza przygotowane szkiełko pod mikroskopem i rozpoczyna analizę żywych komórek krwi.
- 5. Podczas badania oceniane są różne parametry, takie jak kształt i rozmiar erytrocytów (czerwonych krwinek), obecność i aktywność leukocytów (białych krwinek) oraz płytek krwi.
- 6. W niektórych przypadkach może zostać wykonana dodatkowa analiza, np. ocena stopnia krzepnięcia krwi lub jej odczynu pH.
- 7. Po zakończeniu obserwacji specjalista omawia wyniki badania i udziela zaleceń dotyczących dalszego postępowania.
Cały proces badania żywej kropli krwi zazwyczaj trwa około 30-60 minut i jest całkowicie bezpieczny dla pacjenta.
Jak interpretować wyniki badania żywej kropli krwi?
Interpretacja wyników badania żywej kropli krwi wymaga specjalistycznej wiedzy i doświadczenia. Specjalista, który przeprowadza badanie, ocenia różne aspekty żywych komórek krwi, takie jak:
- Kształt i rozmiar erytrocytów (czerwonych krwinek): ich nieprawidłowa forma lub wielkość może sygnalizować niedobory składników odżywczych, toksyczność lub problemy z krążeniem.
- Aktywność i liczba leukocytów (białych krwinek): zwiększona liczba białych krwinek może wskazywać na infekcję lub stan zapalny, podczas gdy ich zmniejszona liczba może być oznaką osłabionego układu odpornościowego.
- Obecność i jakość płytek krwi: odgrywa kluczową rolę w procesie krzepnięcia krwi, a ich nieprawidłowa liczba lub wygląd może sygnalizować problemy z krzepnięciem lub inne zaburzenia.
- Stopień agregacji (zlepiania się) komórek krwi: nadmierna agregacja może utrudniać przepływ krwi i doprowadzić do niedotlenienia tkanek.
Na podstawie tych obserwacji specjalista może zidentyfikować potencjalne problemy zdrowotne, takie jak niedobory witamin i minerałów, toksyczność, zakażenia, zaburzenia metaboliczne czy problemy z krążeniem. Następnie może zaproponować odpowiednie zalecenia dotyczące diety, suplementacji lub dalszych badań.
Podsumowanie
Badanie żywej kropli krwi to intrygująca metoda diagnostyczna, która oferuje wgląd w stan zdrowia organizmu poprzez obserwację żywych komórek krwi pod mikroskopem. Co to jest badanie żywej kropli krwi? To nieinwazyjna procedura polegająca na analizie kształtu, rozmiaru i aktywności erytrocytów, leukocytów oraz płytek krwi w ich naturalnym środowisku.
Choć badanie kropli żywej krwi nie zastępuje standardowych badań krwi zlecanych przez lekarzy, stanowi cenny dodatek w holistycznym podejściu do zdrowia. Umożliwia wykrycie potencjalnych niedoborów, toksyczności czy nieprawidłowości, które mogą być przyczyną różnych dolegliwości. Regularne monitorowanie stanu krwi tą metodą pozwala na lepsze zrozumienie potrzeb organizmu i dostosowanie diety oraz suplementacji.






