Celiakia badania to kluczowy krok w diagnostyce tej przewlekłej choroby autoimmunologicznej jelit. Nietolerancja glutenu wymaga przeprowadzenia szeregu dokładnych testów, aby potwierdzić rozpoznanie i wdrożyć odpowiednie leczenie dietetyczne. W tym artykule przedstawimy niezbędne badania do postawienia diagnozy celiakii, w tym testy serologiczne, biopsję jelita cienkiego oraz inne metody diagnostyczne. Poznasz objawy sygnalizujące konieczność przeprowadzenia testów oraz kolejne kroki po potwierdzeniu nietolerancji glutenu.
Kluczowe wnioski:- Celiakia to przewlekła nietolerancja glutenu wymagająca odpowiedniej diagnostyki. Konieczne są specjalistyczne badania, aby postawić prawidłowe rozpoznanie.
- Jednym z pierwszych kroków są testy serologiczne, takie jak oznaczanie przeciwciał anty-tTG i EMA. Pozwalają one wstępnie ocenić ryzyko celiakii.
- Biopsja jelita cienkiego jest uważana za "złoty standard" w diagnostyce celiakii. Ujawnia ona charakterystyczne zmiany w błonie śluzowej jelita.
- Inne metody diagnostyczne obejmują np. testy genetyczne i badanie kału na obecność markerów zapalnych.
- Po potwierdzeniu celiakii konieczne jest wprowadzenie diety bezglutenowej oraz regularne monitorowanie stanu zdrowia pod opieką specjalisty.
Celiakia badania - jak zdiagnozować celiakię?
Nietolerancja glutenu, znana jako celiakia, to przewlekła choroba autoimmunologiczna, która wymaga dokładnej diagnostyki. Badania celiakii są niezbędne, aby potwierdzić to schorzenie i wdrożyć odpowiednie leczenie, czyli dietę bezglutenową. Proces diagnostyczny obejmuje kilka etapów, od rozpoznania objawów po specjalistyczne testy.
Pierwszym krokiem w przypadku podejrzenia celiakii jest wizyta u lekarza rodzinnego lub gastrologa. Lekarz przeprowadzi wywiad medyczny i zasięgnie informacji na temat występujących dolegliwości. Następnie zleci serię badań przesiewowych, takich jak testy krwi, aby ocenić ryzyko celiakii.
Kolejnym ważnym etapem jest wykonanie bardziej specjalistycznych badań diagnostycznych, takich jak biopsja jelita cienkiego, która jest uważana za "złoty standard" w rozpoznawaniu celiakii. Ten zabieg pozwala bezpośrednio ocenić stan błony śluzowej jelita i wykryć charakterystyczne zmiany.
W niektórych przypadkach mogą być wymagane dodatkowe testy, np. genetyczne lub ocena kału pod kątem markerów zapalnych. Dzięki temu lekarz ma pełny obraz sytuacji i może postawić trafną diagnozę.
Celiakia badania - objawy wskazujące na nietolerancję glutenu
Nietolerancja glutenu, czyli celiakia, może objawiać się różnorodnymi symptomami, zarówno ze strony przewodu pokarmowego, jak i innych układów organizmu. Kluczowe jest rozpoznanie tych sygnałów i podjęcie dalszych kroków diagnostycznych.
Jednym z najczęstszych objawów celiakii są dolegliwości żołądkowo-jelitowe, takie jak biegunka, bóle brzucha, wzdęcia i niestrawność. Mogą one prowadzić do niedożywienia i niedoborów składników odżywczych.
U niektórych osób celiakia objawia się również zmianami skórnymi, np. opryszczką, suchą i łuszczącą się skórą. Czasami występują również bóle stawów, zmęczenie, zaburzenia miesiączkowania i obniżenie nastroju. Wszystkie te sygnały mogą wskazywać na nietolerancję glutenu.
Warto zwrócić uwagę na objawy występujące u dzieci, gdyż ich organizm jest szczególnie wrażliwy na gluten. Mogą one mieć problemy z przybieraniem na wadze, zaburzenia rozwoju oraz objawy ze strony układu nerwowego.
- Biegunka, bóle brzucha, wzdęcia i niestrawność to typowe dolegliwości żołądkowo-jelitowe.
- Zmiany skórne, bóle stawów, zmęczenie i zaburzenia nastroju również mogą sygnalizować celiakię.
- U dzieci należy zwracać uwagę na problemy z przybieraniem na wadze, opóźniony rozwój i objawy neurologiczne.
- Jeśli podejrzewasz nietolerancję glutenu, skonsultuj się z lekarzem w celu przeprowadzenia odpowiednich badań.
Czytaj więcej: Badanie nietolerancji laktozy - dostępne metody i interpretacja
Celiakia badania - testy serologiczne na celiakię
Testy serologiczne stanowią pierwszy krok w procesie diagnostycznym celiakii. Polegają one na oznaczaniu we krwi specyficznych przeciwciał skierowanych przeciwko glutenowi. Dzięki nim można wstępnie ocenić ryzyko celiakii i zdecydować o dalszych badaniach.
Jednym z najczęściej wykonywanych testów jest oznaczanie poziomu przeciwciał anty-tTG (przeciw przejściowej gliadynie tkankowej). Wysokie stężenie tych przeciwciał może sugerować celiakię, jednak samo w sobie nie jest miarodajną diagnozą.
Kolejnym ważnym testem serologicznym jest oznaczanie przeciwciał EMA (przeciw endomysium). Ich obecność we krwi również wskazuje na możliwość występowania celiakii.
Lekarz może również zdecydować o wykonaniu innych badań krwi, takich jak oznaczanie stężenia przeciwciał przeciw deamidowanej gliadynie (DGP) czy pomiaru poziomu przeciwciał AGA (przeciw gliadynie). Diagnostyka serologiczna pomaga wstępnie zidentyfikować problem, ale nie zastępuje dalszych, bardziej specjalistycznych badań.
Celiakia badania - biopsja jelita cienkiego
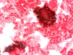
Biopsja jelita cienkiego jest uważana za "złoty standard" w diagnostyce celiakii. Ten zabieg polega na pobraniu małych fragmentów tkanki z błony śluzowej jelita czczego i poddaniu ich badaniu histopatologicznemu.Podczas biopsji lekarz wprowadza przez usta specjalną rurkę z kamerą (endoskop) i pobiera próbki tkanki z różnych miejsc jelita cienkiego. Cały proces jest wykonywany w znieczuleniu ogólnym lub sedacji.
Następnie próbki są analizowane pod mikroskopem przez doświadczonego patologa. W przypadku celiakii stwierdza się charakterystyczne uszkodzenie kosmków jelitowych oraz stany zapalne. Im bardziej zaawansowane są zmiany, tym łatwiej o rozpoznanie.
Biopsja jelita cienkiego jest niezbędna do postawienia ostatecznej diagnozy celiakii. Pozwala na bezpośrednią ocenę stanu błony śluzowej jelita i odróżnienie nietolerancji glutenu od innych schorzeń przewodu pokarmowego.
- Biopsja jelita cienkiego jest uważana za "złoty standard" w diagnostyce celiakii.
- Polega na pobraniu próbek tkanki z jelita za pomocą endoskopu i analizie histopatologicznej.
- U osób z celiakią widoczne są charakterystyczne uszkodzenia kosmków jelitowych i stany zapalne.
- Biopsja pozwala na bezpośrednią ocenę stanu jelita i odróżnienie celiakii od innych schorzeń.

Celiakia badania - inne metody diagnostyczne celiakii
Oprócz testów serologicznych i biopsji jelita cienkiego, w procesie diagnostycznym celiakii mogą być wykorzystywane również inne metody. Ich celem jest potwierdzenie lub wykluczenie nietolerancji glutenu oraz ocena stopnia uszkodzenia jelita.
Podsumowanie
Rozpoznanie celiakii wymaga przeprowadzenia szeregu szczegółowych badań. Proces obejmuje testy serologiczne, biopsję jelita cienkiego oraz ewentualne badania uzupełniające. Dzięki temu możliwe jest potwierdzenie lub wykluczenie nietolerancji glutenu i postawienie właściwej diagnozy. Wczesne rozpoznanie celiakii ma kluczowe znaczenie dla wdrożenia leczenia dietetycznego i zapobieżenia powikłaniom.
Podstawą skutecznej terapii nietolerancji glutenu jest ścisłe przestrzeganie diety bezglutenowej. Wymaga to dużej samodyscypliny i znajomości produktów dozwolonych w diecie. Regularne monitorowanie stanu zdrowia pod opieką specjalisty pozwoli na kontrolę przebiegu choroby i dostosowanie leczenia w razie potrzeby.






