Pasożyty w płucach to poważny problem zdrowotny. Mogą zaatakować układ oddechowy człowieka na wiele sposobów. Choć występują rzadziej niż pasożyty układu pokarmowego, ich obecność może być groźna dla zdrowia. W płucach mogą rozwijać się różne rodzaje pasożytów - od pierwotniaków po nicienie. Każdy z nich wywołuje charakterystyczne objawy. Najczęściej są to kaszel, duszności i gorączka. Wykrycie pasożytów wymaga specjalistycznych badań.
Najważniejsze informacje:- Pasożyty płucne występują rzadziej niż jelitowe, ale są równie niebezpieczne
- Głównymi sprawcami są pierwotniaki, płazińce, nicienie i filarie
- Objawy często przypominają zwykłe przeziębienie lub grypę
- Do zakażenia może dojść przez spożycie skażonej żywności lub kontakt z zarażonymi zwierzętami
- Skuteczne leczenie wymaga precyzyjnej diagnostyki i odpowiednio dobranych leków
- Nieleczone zakażenie może prowadzić do poważnych powikłań zdrowotnych
- Większość przypadków można skutecznie wyleczyć przy pomocy leków przeciwpasożytniczych
Jakie są najczęstsze objawy pasożytów w płucach?
Pasożyty w płucach mogą wywoływać różnorodne symptomy, które często przypominają zwykłe przeziębienie. Ich obecność najczęściej objawia się uporczywym kaszlem i dusznościami. Dolegliwości zwykle nasilają się w nocy, co może znacząco wpływać na jakość życia pacjenta.
Symptomy infekcji pasożytniczej płuc mogą początkowo być bardzo subtelne. Z czasem dolegliwości stają się coraz bardziej dokuczliwe. Nieleczone zakażenie może prowadzić do poważnych powikłań zdrowotnych.
- Napadowy, suchy kaszel
- Trudności w oddychaniu i świszczący oddech
- Gorączka lub stan podgorączkowy
- Bóle w klatce piersiowej
- Osłabienie i zmęczenie
- Odkrztuszanie wydzieliny, czasami z krwią
- Nocne poty
- Utrata wagi
Rozpoznanie objawów pasożytów w płucach jest kluczowe dla rozpoczęcia skutecznego leczenia. Wczesna diagnoza znacząco zwiększa szanse na całkowite wyleczenie.
Kiedy należy niezwłocznie udać się do lekarza?
- Odkrztuszasz krwistą wydzielinę
- Masz silną duszność lub problemy z oddychaniem
- Występuje wysoka gorączka (powyżej 39°C)
- Odczuwasz ostry ból w klatce piersiowej
- Zauważasz szybką utratę masy ciała
Choroby pasożytnicze płuc wymagają szybkiej interwencji medycznej. Każde opóźnienie w diagnostyce może prowadzić do rozwoju poważnych powikłań.
Szczególną czujność powinny zachować osoby podróżujące do krajów tropikalnych. Ryzyko zarażenia jest tam znacznie wyższe.
Rodzaje pasożytów atakujących płuca
Robaki w płucach należą do różnych grup organizmów pasożytniczych. Glisty w płucach są jednymi z najczęściej występujących pasożytów. Przywry płucne stanowią równie poważne zagrożenie dla zdrowia.
| Nazwa pasożyta | Sposób zarażenia | Charakterystyczne objawy |
|---|---|---|
| Paragonimus westermani | Spożycie surowych skorupiaków | Krwioplucie, ból w klatce piersiowej |
| Ascaris lumbricoides | Zanieczyszczona gleba i warzywa | Duszności, kaszel z odkrztuszaniem |
| Toxocara canis/cati | Kontakt z odchodami zwierząt | Świszczący oddech, gorączka |
Każdy z wymienionych nicieni w układzie oddechowym wymaga specyficznego leczenia. Właściwa identyfikacja pasożyta jest kluczowa dla skutecznej terapii.
Jak dochodzi do zarażenia?
Do zarażenia pasożytami w płucach najczęściej dochodzi poprzez spożycie skażonej żywności. Szczególnie niebezpieczne są niedogotowane mięso i surowe owoce morza.
Glisty w płucach mogą zaatakować organizm przez kontakt z zanieczyszczoną glebą. Brak odpowiedniej higieny rąk zwiększa ryzyko infekcji.
Kolejną drogą zarażenia jest bezpośredni kontakt z chorymi zwierzętami. Ich odchody mogą zawierać jaja pasożytów.
Do grup szczególnego ryzyka należą podróżnicy, osoby pracujące z ziemią oraz właściciele zwierząt domowych. Dzieci również są bardziej narażone na zarażenie ze względu na częsty kontakt z glebą. Osoby z osłabionym układem odpornościowym powinny zachować szczególną ostrożność.
Metody diagnostyki zakażeń pasożytniczych
Diagnoza infekcji pasożytniczej płuc wymaga przeprowadzenia szeregu specjalistycznych badań. Lekarz rozpoczyna od wywiadu medycznego i osłuchiwania płuc. Następnie zleca odpowiednie testy diagnostyczne.
Wykrycie pasożytów w płucach często wymaga zastosowania kilku metod diagnostycznych jednocześnie. Badania obrazowe pozwalają ocenić stan płuc, podczas gdy testy laboratoryjne potwierdzają obecność pasożytów.
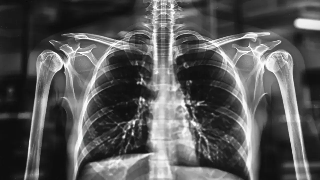
1. Badanie rentgenowskie klatki piersiowej - uwidacznia zmiany w płucach 2. Tomografia komputerowa - dokładniejszy obraz zmian chorobowych 3. Badanie plwociny - wykrywa larwy i jaja pasożytów 4. Badania krwi - sprawdza poziom przeciwciał 5. Badanie kału - identyfikuje obecność pasożytów 6. Bronchoskopia - pozwala na bezpośrednią obserwację dróg oddechowychJak przebiega badanie u specjalisty?
Pierwsza wizyta rozpoczyna się od szczegółowego wywiadu medycznego. Lekarz pyta o objawy i okoliczności ich wystąpienia.
Następnie przeprowadzane jest badanie fizykalne pacjenta. Specjalista osłuchuje płuca i ocenia ogólny stan zdrowia.
Po wstępnej diagnozie lekarz zleca odpowiednie badania. Właściwa interpretacja wyników pozwala na dobór skutecznego leczenia.
Skuteczne metody leczenia
Leczenie chorób pasożytniczych płuc opiera się głównie na terapii farmakologicznej. Stosuje się leki przeciwpasożytnicze, które eliminują intruzów z organizmu. Dodatkowo można wprowadzić leczenie wspomagające, łagodzące objawy.
W przypadku masywnego zarażenia konieczna może być hospitalizacja. Ciężkie przypadki wymagają intensywnego nadzoru medycznego. Terapia musi być prowadzona pod ścisłą kontrolą lekarza.
| Rodzaj terapii | Czas trwania | Skuteczność |
|---|---|---|
| Leki przeciwpasożytnicze | 2-4 tygodnie | 80-95% |
| Leczenie chirurgiczne | Zabieg jednorazowy | 90-100% |
| Terapia skojarzona | 4-6 tygodni | 85-98% |
Pełen cykl leczenia trwa zazwyczaj od 2 do 6 tygodni. Czas terapii zależy od rodzaju pasożyta i zaawansowania choroby.
Czy można wspomóc leczenie domowymi metodami?
Podczas leczenia pasożytów w płucach można stosować naturalne metody wspomagające. Odpowiednia dieta bogata w czosnek, kurkumę i oregano może wspierać walkę z pasożytami. Regularne spożywanie probiotyków wzmacnia odporność organizmu.
Domowe sposoby mogą łagodzić objawy infekcji pasożytniczej płuc. Inhalacje z olejków eterycznych przynoszą ulgę w oddychaniu. Nawadnianie organizmu i odpoczynek przyspieszają proces zdrowienia.
Możliwe powikłania nieleczonej choroby
Nieleczone pasożyty w płucach mogą prowadzić do poważnych komplikacji zdrowotnych. Długotrwała obecność pasożytów powoduje stan zapalny i uszkodzenia tkanki płucnej. Możliwe jest powstanie torbieli i zwłóknień w płucach.
Zaawansowane stadium choroby może skutkować niewydolnością oddechową. Robaki w płucach osłabiają funkcjonowanie układu oddechowego. W skrajnych przypadkach może dojść do masywnego krwioplucia.
Szczególnie niebezpieczne są powikłania u osób z obniżoną odpornością. Glisty w płucach mogą rozprzestrzenić się do innych narządów. Istnieje ryzyko rozwoju poważnych infekcji wtórnych.
Długoterminowe konsekwencje mogą być nieodwracalne. Przewlekłe zapalenie płuc może prowadzić do trwałego upośledzenia funkcji oddechowych.
Jak zapobiegać zarażeniu pasożytami płuc?
Skuteczna profilaktyka chorób pasożytniczych płuc opiera się na przestrzeganiu podstawowych zasad higieny. Dokładne mycie rąk i produktów spożywczych znacząco zmniejsza ryzyko zarażenia.
Podczas podróży do krajów tropikalnych należy zachować szczególną ostrożność. Unikanie spożywania surowego mięsa i nieprzegotowanej wody jest kluczowe dla bezpieczeństwa.
Podstawą profilaktyki jest regularne mycie rąk, szczególnie po kontakcie ze zwierzętami. Należy również dbać o czystość otoczenia i systematycznie odrobaczać zwierzęta domowe. Właściwa obróbka termiczna żywności eliminuje ryzyko zarażenia.
Zbilansowana dieta wzmacnia odporność organizmu. Regularne spożywanie warzyw i owoców dostarcza niezbędnych składników odżywczych.
Co musisz wiedzieć o pasożytach w płucach?
Pasożyty w płucach to poważny problem zdrowotny wymagający szybkiej diagnostyki i profesjonalnego leczenia. Choć pierwsze objawy mogą przypominać zwykłe przeziębienie, nie wolno ich lekceważyć. Kluczowe jest szybkie rozpoznanie symptomów i niezwłoczna konsultacja z lekarzem.
Skuteczne leczenie infekcji pasożytniczej płuc jest możliwe dzięki nowoczesnym metodom diagnostycznym i terapeutycznym. Ważne jest przestrzeganie zaleceń lekarza i dokończenie przepisanej kuracji, nawet jeśli objawy ustąpią wcześniej. Leczenie wspomagające i odpowiednia dieta mogą przyspieszyć powrót do zdrowia.
Profilaktyka odgrywa kluczową rolę w zapobieganiu zarażeniu pasożytami w płucach. Przestrzeganie podstawowych zasad higieny, właściwa obróbka termiczna żywności oraz ostrożność podczas podróży do krajów tropikalnych skutecznie chronią przed infekcją. Regularne odrobaczanie zwierząt domowych dodatkowo zmniejsza ryzyko zarażenia.
